Materiał na stronie przeznaczony jest dla osób profesjonalnej opieki medycznej.

USG BenQ T3300 to nowoczesny, przenośny system ultrasonograficzny zaprojektowany z myślą o pracy przy łóżku pacjenta i szybkim zakładaniu dostępu naczyniowego (kaniul i cewników), także u pacjentów z trudnym dostępem naczyniowym.
Łączy wysoką jakość obrazowania z intuicyjną obsługą, dzięki czemu skraca czas procedur, zmniejsza liczbę nieudanych prób wkłucia i podnosi komfort pracy zespołów pielęgniarskich, ratowniczych oraz lekarskich.
To rozwiązanie stworzone dla oddziałów i zespołów, które chcą poprawić skuteczność procedur, ograniczyć stres pacjentów i lepiej wykorzystać zasoby personelu – bez skomplikowanych wdrożeń i długich szkoleń.
lokalizacji żył i tętnic,
zakładaniu dostępu naczyniowego pod kontrolą USG,
procedurach typu Point-of-Care przy łóżku pacjenta,
pracy w sytuacjach nagłych i planowych.
izbach przyjęć i SOR,
ratownictwie medycznym,
oddziałach intensywnej terapii i anestezjologii,
oddziałach internistycznych i chirurgicznych,
oddziałach pediatrycznych i geriatrycznych,
zespołach pielęgniarskich obsługujących kilka oddziałów jednym urządzeniem.

Szybsze i bardziej komfortowe wkłucia
Automatyczne dostrajanie obrazu i precyzyjna wizualizacja naczyń pozwalają wykonywać wkłucia szybciej i skuteczniej już za pierwszym razem, ograniczając ból i stres pacjentów oraz frustrację personelu.

Intuicyjna obsługa dla całego zespołu
Dotykowy ekran, gotowe tryby „żyły” i „tętnice” oraz logiczny interfejs sprawiają, że z USG mogą bezpiecznie korzystać zarówno doświadczeni lekarze, jak i pielęgniarki oraz ratownicy medyczni po krótkim wdrożeniu.

Precyzja, która zmniejsza liczbę nieudanych prób
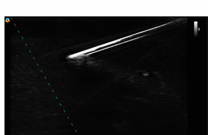
Wysoka rozdzielczość, obrazowanie harmoniczne i tryby Doppler ułatwiają lokalizację naczyń nawet u pacjentów z trudnym dostępem, zwiększając skuteczność każdej procedury.

Większa kontrola nad igłą podczas zabiegu
Funkcja wizualizacji igły pozwala prowadzić ją dokładnie w osi naczynia, co skraca czas wkłucia i redukuje ryzyko niepowodzeń i powikłań.

Elastyczna praca dokładnie tam, gdzie jest potrzebna
Lekka, kompaktowa konstrukcja umożliwia szybkie przenoszenie aparatu między salami i oddziałami, dzięki czemu pacjent nie musi być transportowany do badania.

Jedno USG dla wielu oddziałów
Szybki start i uniwersalne zastosowanie sprawiają, że jeden aparat może obsługiwać kilka jednostek organizacyjnych, zwiększając dostępność procedur i ograniczając koszty inwestycyjne.

Niezawodność i niższe koszty eksploatacji
Solidna konstrukcja, odporność na intensywne użytkowanie i pełna integracja z systemami DICOM zapewniają stabilną pracę oddziału, mniej przestojów i szybszy zwrot z inwestycji.
Pobierz praktyczny poradnik do bezpiecznych wkłuć pod kontrolą USG
Wypełnij formularz i otrzymaj bezpłatny poradnik krok po kroku, pokazujący jak wykorzystać USG w codziennych wkłuciach naczyniowych. Sprawdzone wskazówki, które pomagają skrócić czas procedury i zwiększyć skuteczność już od pierwszej próby.
jakość obrazu klasy premium w mobilnym formacie;
potwierdzona funkcja wizualizacji igły (ENV);
szybki start – gotowość do pracy w < 30 sekund;
wodoodporny ekran – łatwiejsza dezynfekcja;
kompatybilność z DICOM 3.0;
możliwość personalizacji przycisków funkcyjnych.
To nowoczesny, przenośny system ultrasonograficzny dedykowany diagnostyce Point-of-Care, dlatego może być wszechstronnie wykorzystywany w codziennej pracy w gabinecie lekarskim lub szpitalu.








Zobacz, jak mobilne USG BenQ T3300 wspiera codzienną praktykę kliniczną
A: T3300 został zaprojektowany właśnie do takich sytuacji klinicznych. Wysoka jakość obrazu, obrazowanie harmoniczne oraz tryby Doppler umożliwiają precyzyjne zlokalizowanie naczyń, nawet wtedy, gdy są niewyczuwalne palpacyjnie. Dodatkowo funkcja wizualizacji igły pozwala prowadzić ją dokładnie w osi naczynia, co zwiększa skuteczność wkłuć już przy pierwszej próbie i ogranicza dyskomfort pacjenta.
A: Interfejs T3300 został uproszczony z myślą o pracy oddziałowej. Gotowe tryby „żyły” i „tętnice” oraz automatyczne dostrajanie obrazu eliminują konieczność ręcznego ustawiania parametrów. Dzięki temu personel może skupić się na procedurze, a nie na obsłudze sprzętu, a czas wdrożenia do pracy jest znacząco krótszy.
A: Kompaktowa forma, niska waga i szybkie uruchamianie sprawiają, że USG T3300 jest zawsze gotowe do użycia tam, gdzie aktualnie znajduje się pacjent. Aparat można łatwo przenieść między salami i oddziałami, bez konieczności transportowania chorego na badanie, co jest szczególnie istotne w przypadku pacjentów w cięższym stanie.
A: Dzięki mobilności, szybkiemu startowi i uniwersalnym programom badania, T3300 może być wykorzystywany rotacyjnie przez różne oddziały. To rozwiązanie, które zwiększa dostępność USG w całej placówce bez konieczności inwestowania w kilka urządzeń, pozwalając lepiej wykorzystać dostępne zasoby sprzętowe.
A: Aparat został zaprojektowany z myślą o częstym użytkowaniu i regularnej dezynfekcji. Solidna konstrukcja oraz stabilna praca sprawiają, że urządzenie dobrze radzi sobie w wymagającym środowisku oddziałowym, ograniczając ryzyko awarii i nieplanowanych przestojów.
A: T3300 obsługuje standard DICOM, co umożliwia szybki zapis i przesyłanie obrazów do systemów HIS i PACS. Dzięki temu dokumentacja medyczna jest kompletna i dostępna bez dodatkowych czynności administracyjnych, a personel może poświęcić więcej czasu pacjentowi.
A: Skrócenie czasu procedur, mniejsza liczba nieudanych wkłuć oraz trwałość urządzenia przekładają się na realne oszczędności operacyjne. Placówka ogranicza koszty pośrednie, zmniejsza zużycie materiałów i unika częstych napraw, co sprawia, że inwestycja w T3300 szybko zaczyna pracować na swój zwrot.
Przetestuj USG T3300 na swoim oddziale
Skontaktuj się z Product Managerem USG w FORMED i sprawdź dostępne terminy testów oraz dopasowanie rozwiązania do potrzeb Twojej placówki

Marta Stachurska
Product Manager USG w FORMED
Jako integrator kompleksowych realizacji inwestycji dla placówek medycznych, FORMED kompleksowo wyposaża szpitale i kliniki w:
sprzęt medyczny i niemedyczny,
meble szpitalne i administracyjne,
aparaturę medyczną,
oraz zapewnia usługi montażu i serwisu.
Naszą misją jest dostarczanie rozwiązań, które realnie odciążają personel i podnoszą jakość opieki nad pacjentami.
Nie sprzedajemy tylko urządzeń – budujemy długofalowe partnerstwo.
kompleksowych realizacji
sprzedanych produktów medycznych
sprzedanych zestawów meblowych